RELATO DE CASO
Qualidade de vida em pacientes com defeitos pós-traumáticos do fêmur tratados com fíbula vascularizada: série de casos
Quality of life in patients with post-traumatic femoral defects treated with vascularized fibula: case series
Aline Ferreira Guimarães Gubolin¹, Lívia Gaspar Fernandes¹, Luciano Ruiz Torres¹, Cleidneia Aparecida Clemente¹, Pérola Grinberg Plapler¹
¹Instituto de Ortopedia e Traumatologia do Hospital das Clínicas da Faculdade de Medicina da Universidade de São Paulo (IOT-HCFMUSP), São Paulo, SP, Brasil
Recebido em: 8 de março de 2024; Aceito em: 7 de julho de 2024.
Correspondência: Aline Ferreira Guimarães Gubolin, aline.guimaraes@hc.fm.usp.br
Como citar
Gubolin AFG, Fernandes LG, Torres LR, Clemente CA, Plapler PG. Qualidade de vida em pacientes com defeitos pós-traumáticos do fêmur tratados com fíbula vascularizada: série de casos. Fisioter. Bras. 2024;25(4):1626-1634. doi:10.62827/fb.v25i4.1012
Objetivo: avaliar a qualidade de vida dos pacientes tratados com fíbulas vascularizadas para a reconstrução de defeitos pós-traumáticos do fêmur. Métodos: Foram incluídos quatro pacientes operados entre 2009 e 2016 no Instituto de Ortopedia e Traumatologia do Hospital das Clínicas da Faculdade de Medicina da Universidade de São Paulo (IOT-HCFMUSP). Os pacientes responderam ao questionário de qualidade de vida SF-12. Além disso, os prontuários foram consultados para análise do acompanhamento médico e fisioterapêutico e os pacientes foram avaliados para análise da amplitude de movimento das articulações do quadril, joelho e tornozelo. Resultados: Em relação à qualidade de vida, os pacientes classificam a saúde deles como boa e excelente, três pacientes realizam menos tarefas de que gostariam e a presença de dor interfere na realização de atividades diárias em todos os casos. Todos utilizavam algum meio auxiliar para marcha, nas distâncias mais longas e a limitação para amplitude de movimento do joelho foi uma complicação comum nestes casos. Conclusão: a qualidade de vida dos pacientes tratados com fíbula vascularizada nesta série de casos foi reestabelecida e a fisioterapia precoce pareceu fundamental para a recuperação destes pacientes que passaram por longos períodos com restrições e falta de carga e amplitude articular. São necessários mais estudos com pacientes, com este perfil específico, para que se possa melhor atender às estas demandas da melhor forma possível.
Palavras-chave: Fêmur; transplante ósseo; fisioterapia; qualidade de vida.
Objective: to evaluate the quality of life of patients treated with vascularized fibula for the reconstruction of post-traumatic femoral defects. Methods: Patients operated between 2009 and 2016 at the Institute of Orthopedics and Traumatology of the Hospital das Clínicas of the Faculty of Medicine of the University of São Paulo (IOT-HCFMUSP) were included. Patients responded to the SF-12 quality of life questionnaire. In addition, medical records were consulted to analyze medical and physiotherapeutic follow-up and patients were evaluated to analyze the range of movement of the hip, knee and ankle joints. Results: Four patients were included in the study. Regarding quality of life, patients classify their health as good and excellent, three patients perform fewer tasks than they would like and the presence of pain interferes with carrying out daily activities in all cases. Everyone used some form of aid for walking over longer distances and limitation of knee range of motion was a common complication in these cases. Conclusion: the quality of life of patients treated with vascularized fibula in this series of cases was reestablished and early physiotherapy seemed essential for the recovery of these patients who went through long periods with restrictions and lack of load and joint range. More studies are needed with patients, with this specific profile, so that these demands can be better met in the best possible way.
Keywords: Femur; bone transplantation; physical therapy; quality of life.
O transplante de Fíbula Vascularizada (FV) é uma técnica cirúrgica utilizada para reconstrução de falhas ósseas maiores que 6 cm, viabilizando a manutenção do membro acometido em casos de traumas graves com perdas de tecidos moles, infecção, pseudoartrose e tumores ósseos [1,3,4]. Das áreas doadoras utilizadas para enxertia óssea, as características como anatomia vascular, comprimento, forma cilíndrica, força mecânica e potencial para hipertrofia fazem da fíbula a estrutura mais adequada para reconstrução de ossos longos [2,3,5].
Ainda assim, a utilização da FV para defeitos do fêmur está associada a complicações imediatas e tardias devido à dificuldade de acesso cirúrgico ao fêmur em relação a outros ossos longos, pelo fato de sua irrigação ser mantida por apenas uma artéria [5,6]. Wood, em 1990, em uma das primeiras séries publicadas de pacientes que realizaram exclusivamente a reconstrução do fêmur com a técnica da FV, identificou a complexidade das próteses modulares para fêmur e o nível proximal da amputação como fatores em favor da reconstrução do membro. No estudo, dos 41 indivíduos operados, 83% dos pacientes atingiram deambulação com carga total sem auxílio após seguimento mínimo de 12 meses [7].
A progressão de carga para os pacientes submetidos à FV está diretamente relacionada à habilidade de hipertrofia da fíbula transplantada [5]. No entanto, não há consenso na literatura em relação a essa progressão. Em um estudo conduzido por Semaya et al de 2016, foram avaliados 14 pacientes com fraturas expostas de tíbia tratadas com transporte ósseo de fíbula vascularizada associada ao Ilizarov e os autores identificaram que a estabilidade provida pelo Ilizarov permitia carga parcial precoce e compressão axial, favorecendo a hipertrofia da fíbula e evitando fraturas da mesma [3]. Este estudo é corroborado pelo estudo e Bibbo et al [8]. A osteossíntese interna no fêmur nos casos de reconstrução com FV é complicada pelas forças musculares que atuam nessa região, sendo que pode ser necessário período sem carga e órtese/meio auxiliar até que seja observado sinal hipertrófico mínimo que permita o início da carga parcial [3,5,6].
O alinhamento da FV quando transplantada para o fêmur é facilitado pela utilização de fixador externo, sendo mais utilizado um fixador externo linear [9]. Muramatsu et al, em 2004, observaram que as fraturas por estresse da FV ocorrem quando há deformidade angular superior a 15° [5]. O fato de a área da secção da fíbula ser menor que do que a do fêmur também predispõe às fraturas por estresse dessa região [2]. DeBoer et al, em 1990, observaram incidência de 35% de fraturas por estresse nos enxertos para tíbia e 32% nos enxertos para fêmur [9]. Essas fraturas podem contribuir para o processo de hipertrofia da fíbula [3,5].
A heterogeneidade e a gravidade das lesões de partes moles apresentadas pelos pacientes submetidos à reconstrução do fêmur com FV podem alterar a evolução no programa de reabilitação [4]. A literatura nacional não apresenta dados sobre a progressãodesse tipo de paciente. Além disso, nenhum dos estudos anteriores observou a qualidade de vida dos pacientes submetidos à reconstrução com fíbula vascularizada.
O objetivo deste estudo foi verificar, através do questionário SF-12 [10], a qualidade de vida dos pacientes tratados com fíbulas vascularizadas para a reconstrução de defeitos pós-traumáticos do fêmur. Além disso, também foi avaliado a progressão funcional dos pacientes a partir dos dados dos prontuários e, por meio da goniometria, a Amplitude de Movimento (ADM) ativa e passiva das articulações do quadril, joelho e tornozelo.
O projeto foi submetido ao comitê de ética e pesquisa e aprovado em 2018.
Foi realizado um levantamento nos prontuários de pacientes com defeitos pós-traumáticos do fêmur tratados com fíbula vascularizada entre 2009 a 2016. Foram então coletados dados como: nome, data de nascimento, data do acidente, data do procedimento cirúrgico para fíbula vascularizada, dados fisioterapêuticos da internação e do acompanhamento ambulatorial, sendo adquiridas as informações referentes à evolução funcional dos pacientes de acordo com o respectivo período pós-cirúrgico. As evoluções médicas também foram acompanhadas para aquisição de dados sobre reinternações e procedimentos cirúrgicos realizados durante o período de análise. Após esta etapa, os pacientes foram contatados via telefone para comparecerem no ambulatório da fisioterapia para avaliação em dia pré-agendado.
A avaliação foi realizada por meio do questionário SF-12 (12-item health survey) [10]. Além disso, foi feita a mensuração de goniometria das articulações do quadril, joelho e tornozelo. A partir disso, os sujeitos foram informados da natureza do estudo e convidados a participarem. Os voluntários assinaram o Termo de Consentimento Livre e Esclarecido (TCLE), autorizando a publicação dos resultados obtidos.
Os critérios de inclusão foram pacientes que realizaram tanto o procedimento de transplante microcirúrgico de fíbula contralateral quanto o procedimento de rotação de fíbula ipsilateral pediculada para tratar defeitos pós-traumáticos do fêmur no período de 2009 a 2016. Foram excluídos do estudo os pacientes que foram operados fora da janela escolhida para avaliação ou não realizaram acompanhamento ambulatorial.
Quadro1 - Características dos pacientes
|
Pacientes |
Idade |
Mecanismo de Trauma |
Fíbula doadora |
Fixação |
Fratura da fíbula/ tratamento |
Discrepância de MMII/ tratamento |
|
1 |
26 |
AT |
ipsilateral |
FETA joelho |
Sim / conservador |
Sim / calçado compensado |
|
2 |
46 |
AT |
ipsilateral |
FETA joelho |
Sim / conservador |
Sim / alongamento ósseo posterior |
|
3 |
29 |
AT |
ipsilateral |
FETA joelho |
não |
Sim / calçado compensado |
|
4 |
27 |
Acidente de Trabalho |
contralateral |
Placa longa |
Sim / conservador |
não |
Legenda: FETA = fixador externo transarticular; MMII = membros inferiores; AT= acidente de trânsito
Quadro 2 - Resultados avaliados
|
Pacientes |
SF-12 |
Dor |
Meio auxiliar |
|
1 |
86,87 |
sim |
sim |
|
2 |
98,56 |
sim |
sim |
|
3 |
75,33 |
sim |
sim |
|
4 |
94,46 |
sim |
sim |
Legenda: SF-12 (12-item health survey)
Durante o período estudado, quatro pacientes foram tratados com a técnica da fíbula vascularizada para defeitos pós-traumáticos do fêmur. Todos eram do sexo masculino, com idades entre 26 e 46 anos. A tabela 1 apresenta as características dos pacientes.
O tempo de uso do fixador externo, quando utilizado, não ficou bem definido em todos os prontuários, mas foram utilizados até a consolidação da fíbula. O paciente tratado com placa necessitou trocar o material de síntese devido à infecção. As fraturas da fíbula ocorreram em uma média de 4 anos após a cirurgia da fíbula vascularizada.
Em dois dos casos, os pacientes já tinham a articulação do joelho bloqueada devido complicações anteriores à cirurgia da fíbula. Um outro caso evoluiu para um bloqueio de joelho que foi resolvido com a realização da quadricepsplastia, atingindo a amplitude de flexão de 90°. Em um dos casos, uma amplitude de movimento funcional de 110° foi atingida após a cirurgia da fíbula, não necessitando de outras abordagens cirúrgicas.
Nenhum paciente apresentou déficit para a articulação do tornozelo no membro doador da fíbula.
A hipertrofia da fíbula foi observada em todos os casos, mas não há relatos nos prontuários de quando isso ocorreu.
As avaliações foram realizadas com dois e três anos após a cirurgia em todos os pacientes.
Em relação à qualidade de vida, os pacientes classificam a saúde deles como boa e excelente. Os valores mais próximos de 100 equivalem a uma maior qualidade de vida. Quanto à dificuldade para realizar tarefas como subir vários lances de escadas, referem que dificulta um pouco. Três dos pacientes responderam que realizaram menos tarefas do que gostariam no dia a dia. Em relação à presença de dor, todos responderam que interferiu um pouco ou bastante na realização das atividades diárias.
Todos os pacientes deste estudo foram acompanhados pela fisioterapia. No pós-operatório imediato todos foram orientados a manter marcha com meio auxiliar sem carga no membro operado e a carga parcial começou a ser liberada pelo médico quando foram observados sinais de consolidação pela radiografia de controle.
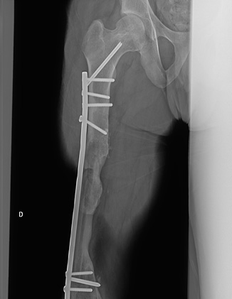
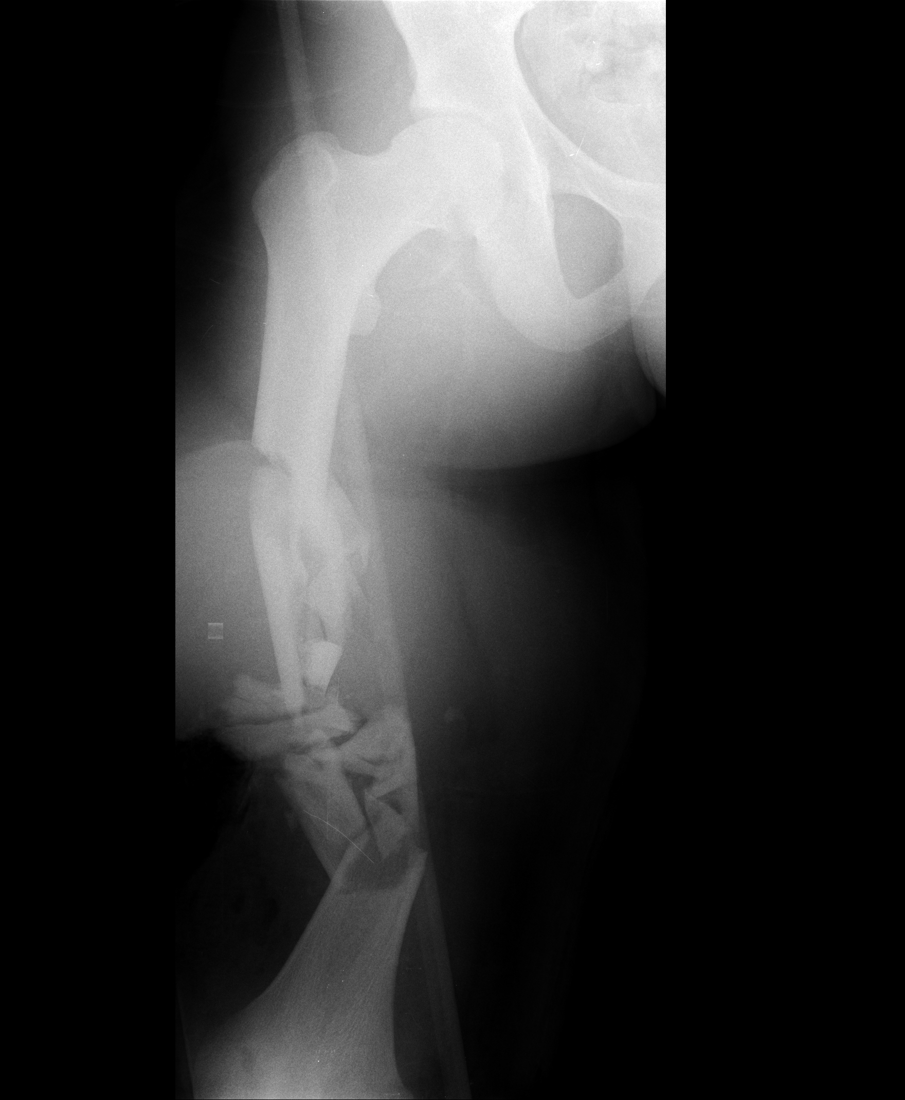
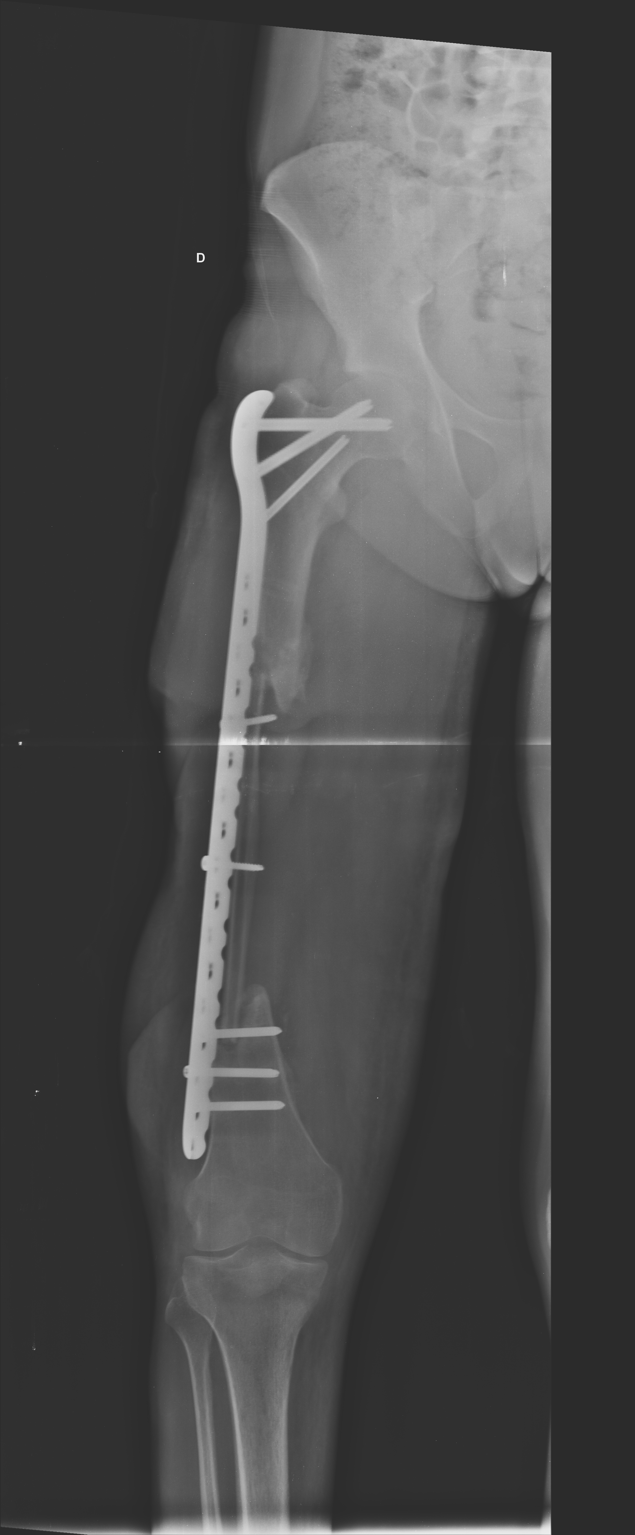
Neste estudo, os pacientes sofreram traumas graves, com perdas ósseas e de partes moles, realizaram múltiplas cirurgias e tiveram longos períodos de reabilitação, e apesar de tudo isso alcançaram bons resultados. Acredita-se que este resultado também esteja relacionado com o início precoce do programa de reabilitação. No paciente que apresentou melhor resultado (Figura 1), observou-se consolidação óssea, com hipertrofia significativa da fíbula, amplitude de movimento da articulação do joelho em 110° e marcha com uso de bengala para meio externo, devido a sua insuficiência do mecanismo extensor do joelho. Portanto, atingiu uma recuperação funcional adequada, onde consegue realizar atividades como subir e descer escadas sem dificuldades e conseguiu retornar ao mercado de trabalho.

Figura 1 - Radiografia de um dos pacientes do estudo. a: raio-x inicial com fratura de fêmur. b: fíbula vascularizada implantada 1 ano após o trauma. c: 6 anos após a fíbula vascularizada com consolidação óssea evidente
Grandes defeitos do fêmur decorrentes de trauma são um desafio para a cirurgia reconstrutiva. Todas as técnicas para reconstrução de membros apresentam limitações e complicações e cabe à equipe avaliar a melhor opção para cada paciente, visto que os traumas são diferentes. Entre várias opções de fonte óssea doadora, o enxerto de fíbula é provavelmente o mais adequado para reconstrução do fêmur por causa de sua estrutura e morbidade mínima do local doador e principalmente para defeitos ósseos maiores que 6 cm, como nos casos do presente estudo.
Neste estudo, os pacientes passaram por muitas cirurgias anteriores para consolidação óssea da fratura do fêmur, e a cirurgia da fíbula vascularizada se mostrou eficiente para a consolidação, concordando com os resultados de outros estudos anteriores como os de Beris et al., em 2011 e Semaya et al., em 2016 [2,3].
A infecção é uma complicação comum que pode ocorrer em grandes traumas, como ocorreu neste estudo, assim como também foi relatado por Jayaramaraju, et al, em 2019, em sua série de 19 casos, onde quatro pacientes evoluíram com infecção sendo tratados com antibióticos intravenosos e dois deles precisaram de desbridamento cirúrgico [11]. No presente estudo, todos os pacientes fizeram uso de antibióticos intravenosos e dois deles precisaram fazer limpeza cirúrgica e desbridamento, entretanto não se pode afirmar que a infecção é decorrente da cirurgia da fíbula vascularizada, pois todos eram fraturas expostas e que necessitaram de múltiplas abordagens cirúrgicas. Esta é uma complicação que interfere no tempo de consolidação óssea e na capacidade de alcançar um resultado funcional satisfatório.
A carga parcial foi liberada quando o médico responsável observou pela radiografia, sinais de consolidação na fíbula, corroborando com estudos com estudos anteriores, como os de Yajima et al., 1993 e Semaya et al., 2016 [6,3]. Em um estudo anterior, Tu Yuan-Kun, et al [12] avaliou a reconstrução pós-traumática de ossos longos com fíbula vascularizada em 48 pacientes, sendo que nos que foram submetidos a uma reconstrução do fêmur, foi necessário em média de 8,2 meses para alcançar a consolidação óssea e hipertrofia e, portanto, serem liberados para carga total no membro.
Apesar dos registros nos prontuários confirmarem a consolidação óssea da fíbula em todos os casos do presente estudo, não ficou bem definido em quanto tempo isso ocorreu. Já Venkatramani, et al, [4] relataram em seu estudo uma média de consolidação entre seis meses. Em uma série com 17 casos de reconstrução de fêmur com fíbula vascularizada após ressecção de tumor, Muramatsu, et al [5] relataram consolidação em 11 casos, sendo 5 casos unidos em 6 meses, 5 em 1 ano e 6 em 2 anos.
A amplitude de movimento da articulação do joelho foi a mais prejudicada em todos os casos deste estudo. Entretanto, nos pacientes que tinham a articulação livre, a amplitude de movimento foi reestabelecida em 90° e 110°, portanto uma amplitude satisfatória se compararmos com o estudo de Jayaramaraju, et al [11], que em seu estudo relataram que a média de amplitude atingida foi de 80°.
No estudo atual, três pacientes apresentaram fratura da fíbula por estresse após quatro anos de pós-operatório, sendo que após a fratura houve hipertrofia da fíbula levando à consolidação. Muitos estudos confirmam a ocorrência da fratura por estresse em seus pacientes, como no estudo de Muramatsu, et al [5], que referiram fratura por estresse em três dos dezessete pacientes de sua série, onde todos foram tratados de forma conservadora e evoluíram para consolidação. Para Qi Young, et al [13], esta é uma das complicações mais comuns, devido ao fato de que a fíbula é muito tênue para suportar o peso corporal e defendem a ideia de que o mecanismo de desenvolvimento de fratura por estresse pode iniciar a hipertrofia óssea. Durante este processo, peso ou força externa excessiva causa fraturas de micro-estresse e hemorragia embaixo do periósteo, que então ativa os osteoblastos e osteoclastos e, eventualmente, leva a um aumento de massa óssea e remodelação. Em um outro estudo, Beris, et al [2], relataram que a incidência da fratura por estresse é comum no primeiro ano pós-operatório, diferente do estudo atual, onde as fraturas ocorreram em quatro anos de pós-operatório.
Não foram encontrados na literatura registros de protocolos ou diretrizes para reabilitação desses pacientes. Entretanto é fundamental que se pense em uma reabilitação que inclua a manutenção de amplitude de movimento das articulações envolvidas, o fortalecimento muscular e o estímulo a marcha com carga o quanto antes for possível.
Uma das limitações desta série de casos é o número de pacientes envolvidos. Ressalta-se que a utilização da fíbula para defeitos traumáticos do fêmur é mais incomum do que a reconstrução da tíbia. Em geral, são traumas mais graves e de difícil resolução ortopédica. Os pacientes desse estudo classificaram sua saúde como boa ou excelente, justificando uma qualidade de vida reestabelecida.
A fisioterapia nestes casos é fundamental e deve ser iniciada o quanto antes, já que são pacientes que já passam por tantos períodos com restrições. São necessários mais estudos com pacientes com este perfil para que se possa ter um direcionamento para a reabilitação, e assim atender às suas demandas da melhor forma possível.
Conflitos de interesse
Os autores declaram não ter conflitos de interesse de qualquer natureza.
Fontes de financiamento
Financiamento próprio.
Contribuição dos autores
Concepção e desenho da pesquisa: Gubolin AFG, Fernandes LG; Coleta de dados: Gubolin AFG; Análise e interpretação dos dados: Gubolin AFG; Análise estatística: Gubolin AFG; Redação do manuscrito: Gubolin AFG, Fernandes LG; Revisão crítica do manuscrito quanto ao conteúdo intelectual importante: Torres LR, Plapler PG, Clemente CA.
Referências
1. Adani R, Delcroix L, Innocenti M, Tarallo L, Celli A, Ceruso M. Reconstruction of large posttraumatic skeletal defects of the forearm by vascularized free fibular graft. Microsurg 2004;24(6):423-9. pmid:1537857. doi:10.1002/micr.20067
2. Beris AE, Lykissas MG, Korompilias AV, Vekris MD, Mitsionis GI, Malizos KN, Soucacos PN. Vascularized fibula transfer for lower limb reconstruction. Microsurg 2011;31(3):205-11. pmid:21360586 doi:10.1002/micr.20841
3. Semaya AE, Badawy E, Hasan M, El-Nakeed RM. Management of post-traumatic bone defects of the tibia using vascularized fibular graft combined with Ilizarov external fixator. Injury 2016;47(4):969-75. pmid:26948238 doi:10.1016/j.injury.2016.01.033
4. Venkatramani H, Sabapathy SR, Dheenadayalan J, Devendra A, Rajasekaran S. Reconstruction of post-traumatic long segment bone defects of the lower end of the femur by free vascularized fibula combined with allograft (modified Capanna technique). Eur J Trauma Emerg Surg 2015;41(1):17-24. pmid::26038162 doi:10.1007/s00068-014-0451-2
5. Muramatsu K, Ihara K, Shigeomi M, Kawai S. Femoral reconstruction by single, folded or double free vascularized fibular grafts. Br J Plast Surg 2004;57(6):550-65 pmid:15308403 doi:10.1016/j.bjps.2003.08.021
6. Yajima H, Tamai S, Mizumoto S, Ono H. Vascularised fibular grafts for reconstruction of the fêmur. J Bone Joint Surg 1993;75B(1):123-8. pmid::8421008 doi:10.1302/0301-620X.75B1.8421008
7. Wood MB. Femoral reconstruction by vascularized bone transfer. Microsurg 1990;11(1):74-9. pmid::8421008 doi:10.1302/0301-620X.75B1.8421008
8. Bibbo C, Bauder AR, Nelson J, Ahn J, Levin LS, Mehra S, Kovach III SJ. Ann Plast Surg 2020;85(5):516-21. pmid::32032114 doi:10.1097/SAP.0000000000002240
9. De Boer HH, Wood MB, Hermans J. Reconstruction of large skeletal defects by vascularized fibula transfer: factors trat influenced the outcome of union in 62 cases. Int. Orthop. 1990;14(2):121-8. pmid:2373557 doi:10.1007/BF00180115
10. Ware JE, Kosinki M, Keller SD. A 12-Item Short-Form Health Survey: Construction of Scales and Preliminary Tests of Reliability and Validity. Medical Care, March 1996,34(3):220-233. pmid::8628042 doi:10.1097/00005650-199603000-00003
11. Jayaramaraju D, Venkatramani H, Rajasekaran RB, Agraharan D, Sabapathy SR. Modified Capanna’s Technique (Vascularized Free Fibula Combined with Allograft) as a Single-Stage Procedure in Post-traumatic Long-Segment Defects of the Lower End of the Femur: Outcome Analysis of a Series of 19 Patients with an Average Gap of 14 cm. Indian J Plast Surg. 2019 Sep;52(3):296-303. Epub 2019 Dec 26. pmid:31908367 pmcid:PMC6938445 doi:10.1055/s-0039-3400672
12. Tu Y, Yen C, Yeh W, Wang I, Wang K, Ueng SW. Reconstruction of posttraumatic long bone defect. with free vascularized bone graft: Good outcome in 48 patients with 6 years’ follow-up. Acta Orthop Scand 2001;72(4):359-64. pmid:11580124 doi:10.1080/000164701753542014
13. Qi Y, Sun H-T, Fan Y-G, Li F-M, Lin Z-S. Do stress fractures induce hypertrophy of the grafted fibula? A report of three cases received free vascularized fibular graft treatment for tibial defects. Chin J Traumatol. 2016;19(3):179-81. pmid:27321302 Ppmcid:PMC4908233 doi:10.1016/j.cjtee.2016.04.003